FUDA DEATAL CLINIC
布田歯科医院
医療社団法人 博雅会
圏央道 日の出インターから
3
分
TEL 042-558-7272
ネットで予約する
お悩み別チャート
ワンポイントアドバイス
歯並び相談
デンタルエステ
ホワイトニング
当院のご案内
院長紹介
コンシェルジュ紹介
院内紹介
診療時間
アクセス・地図
HOME
>
治療内容
>
インプラント
>
インプラント最新症例集
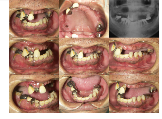
インプラントの症例集
当院で治療された方々の新しい症例を
ご紹介します。
症例1
男性
症例2
男性 58歳
症例3
女性 69歳
症例4
女性 65歳