FUDA DEATAL CLINIC
布田歯科医院
医療社団法人 博雅会
圏央道 日の出インターから
3
分
TEL 042-558-7272
ネットで予約する
お悩み別チャート
ワンポイントアドバイス
歯並び相談
デンタルエステ
ホワイトニング
当院のご案内
院長紹介
コンシェルジュ紹介
院内紹介
診療時間
アクセス・地図
HOME
>
治療内容
>
矯正歯科
>
矯正症例集 3
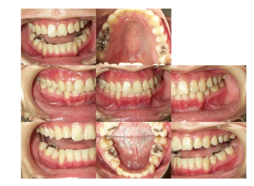
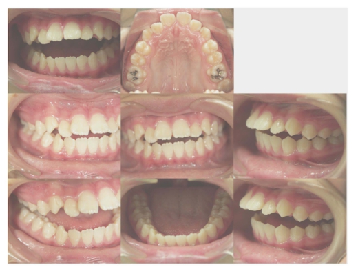
症例 7
男性 11才 矯正期間 11ヶ月
症例 8
男性 11才 矯正期間 1年4ヶ月
症例 9
女性 24才 矯正期間 3年8ヶ月
症例 10
女性 21才 矯正期間 11ヶ月